Impacted Wisdom Tooth Removal in Indore
Best Impacted Wisdom Tooth Removal in Indore at Poly Dental Clinic
Wisdom tooth pain is one of the most uncomfortable dental problems. It often starts quietly and then suddenly becomes severe, making it difficult to eat, open your mouth, or sleep properly. At Indore Poly Dental Clinic, we provide safe and painless impacted wisdom tooth removal using modern techniques that focus on comfort, safety, and quick recovery.
Many patients delay treatment because they fear surgery. The reality is simple: when done at the right time by experienced dentists, impacted wisdom tooth removal in Indore is a controlled, safe, and predictable procedure that brings long-term relief.
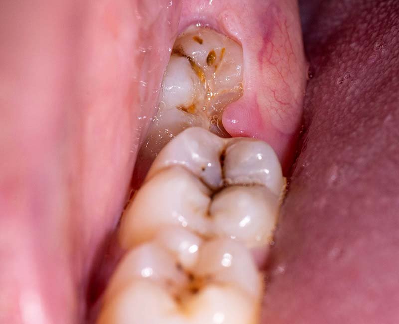
What Is an Impacted Wisdom Tooth?

Wisdom teeth are the last teeth to erupt, usually between the ages of 17 and 25. Often, there is not enough space in the jaw for them to come out properly. When a wisdom tooth gets stuck inside the gum or jawbone, it is called an impacted wisdom tooth.
Impacted wisdom teeth may grow sideways, partially emerge, or remain completely trapped under the gums. This can lead to pain, infection, swelling, jaw stiffness, and damage to nearby teeth. In such cases, impacted wisdom tooth removal in Indore becomes necessary to protect overall oral health.

Common Problems Caused by Impacted Wisdom Teeth

Impacted wisdom teeth can cause several issues if left untreated. These include repeated gum infections, swelling around the jaw, difficulty opening the mouth, bad breath, food trapping, cavities in nearby teeth, and cyst formation in rare cases.
Ignoring these symptoms often leads to worsening pain and more complex surgery later. Timely impacted wisdom tooth removal helps avoid complications and ensures smoother healing.

Signs You May Need Impacted Wisdom Tooth Removal
Not all wisdom teeth cause problems, but certain signs indicate the need for removal. These include pain at the back of the mouth, swelling near the jaw, difficulty chewing, bleeding gums around the wisdom tooth, headache, ear pain, and bad taste or odor.
If you experience any of these symptoms, consulting a dentist early allows planned impacted wisdom tooth removal rather than emergency treatment.
Types of Wisdom Tooth Impaction
There are different types of impaction depending on tooth position.
Vertical impaction occurs when the tooth is upright but trapped under the gum.
Horizontal impaction happens when the tooth grows sideways and presses against the adjacent tooth.
Mesioangular impaction is when the tooth tilts forward.
Distoangular impaction is when the tooth tilts backward.
Each type requires careful evaluation before impacted wisdom tooth removal
Why Impacted Wisdom Tooth Removal Is Important
How Impacted Wisdom Tooth Removal Is Performed
Initial Examination and X-rays
The procedure begins with a detailed clinical examination and digital X-rays to assess the position of the tooth and surrounding structures.
Anesthesia for Comfort
Local anesthesia is given to numb the area completely. This ensures that impacted wisdom tooth removal in Indore is painless during the procedure.
Surgical Removal
A small incision may be made in the gum to access the tooth. If required, the tooth is gently sectioned and removed carefully to minimize trauma.
Cleaning and Suturing
The area is cleaned thoroughly, and stitches may be placed to aid healing.
Post-Procedure Care
Clear aftercare instructions are provided to support smooth recovery after impacted wisdom tooth removal .
Is Impacted Wisdom Tooth Removal Painful?
Why Choose Indore Poly Dental Clinic for Impacted Wisdom Tooth Removal
Indore Poly Dental Clinic is a multispecialty dental center with experienced professionals handling surgical procedures. Impacted wisdom tooth removal in Indore is performed by skilled dentists, including Dr. Sandesh Jain, Oral & Maxillofacial Surgeon, supported by a dedicated dental team.
Our clinic follows strict sterilization standards, uses modern surgical instruments, and prioritizes patient comfort at every step.
Recovery After Impacted Wisdom Tooth Removal in Indore
Healing usually takes a few days to a week. Swelling reduces gradually, and pain subsides with proper care. Patients are advised to rest, avoid smoking, eat soft foods, and maintain oral hygiene as instructed.
Following aftercare instructions carefully ensures faster recovery after impacted wisdom tooth removal